Surgery
 
                                    
                
                
            With two fully equipped operating theatres, our vets can perform a wide range of surgeries from routine castrates and spays to the more specialised soft tissue surgeries such as foreign body removals. Our fixed price soft tissue surgery packages include pre, intra and post-operative medication and 24hour hospitalisation as required:
- Dog Castrate - £350 (regardless of weight)
- Dog Spay - £400 (regardless of weight)
- Cat Castrate - £100 (Cats Protection vouchers accepted)
- Cat Spay - £160 (Cats Protection vouchers accepted)
- Umbilical hernia repair - £500
- Urethral Prolapse repair - £660
- Cystotomy - £1000 (without complicating factors such as urethral obstruction)
- Splenectomy - £1,000
- BOAS Surgery - £1,800 (including 24 hours hospitalisation)
- GI Foreign Body Removal - £1500 to £2500 (including 24 hours hospitalisation)
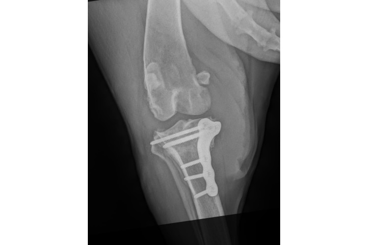
Our expertise extends to orthopaedic surgery including cruciate ligament repair and fractures. We have fixed price orthopaedic surgery packages in the interest of being as transparent as possible; the price you are quoted is the price you pay. All the packages include pre and 6 week post-operative x-rays, anaesthesia, surgery, implants, intra and post operative medication and overnight hospitalisation in our dedicated in-patient ward. Packages available are as follows:
- Fracture Repair - Level 1 - Pins/Wires - £3,400
- Fracture Repair - Level 2 - Plates/Screws - £3,800
- Fracture Repair - Level 3 - Pelvis/ Double Plate - £4,800
- Fracture Repair - Elbow - £3,600
- Luxating Patella Fixation - £3,360
- Cruciate Repair - Lateral Suture - £2,500
- Cruciate Repair - TPLO - £3,800
- Femoral Head and Neck Osteotomy - £2,650
Before you decide to go ahead with surgery, our vets will discuss all your options. If you prefer or require referral of your pet to a specialist surgeon, this decision will always be supported by our team.
We ask all pets to be dropped off during morning consultation hours to be admitted by one of our nurses. This is your chance to discuss any concerns you may have whilst the nurse explains the procedure. Your pet will then be very well looked after by our dedicated animal care assistants in the kennel room. We have a range of kennel sizes to cater for the largest of dogs to the smallest of kittens. We endevour to have your pet back with you by evening consultation hours, allowing them to recuperate in the comfort of their own home.
We are available 24 hours a day, 7 days a week for any emergency situation that may arise.
 
                
                 
                                     
                                     
                                     
                                     
                                     
                                    